EXCELLENT Based on 234 reviews I D2026-01-10Trustindex verifies that the original source of the review is Google. Good work.. Jocel Torio2026-01-08Trustindex verifies that the original source of the review is Google. I had an exceptional experience with Dr. Maheen during my treatment. From the very beginning, she made me feel completely at ease and genuinely cared about my comfort and expectations. She was incredibly patient, attentive, and thoughtful, always taking the time to listen and ensure every detail aligned with what I wanted. Her expertise and gentle approach gave me full confidence throughout the process. The result is a beautiful, natural smile that I truly love. I’m extremely grateful for her dedication, professionalism, and outstanding care, and I highly recommend Dr. Maheen to anyone seeking excellence in dental treatment. Leo Ahmed2026-01-08Trustindex verifies that the original source of the review is Google. They provided a very satisfying service, you’ll never waste your money here! The ambiance was so relaxing while waiting, and all the equipment was clean and sanitized. Highly recommended! I’ll definitely be coming back ❤️ Tara bahadur Karki2026-01-03Trustindex verifies that the original source of the review is Google. Good Nico Floyd Flores2026-01-02Trustindex verifies that the original source of the review is Google. I had an excellent experience at Next Care Dental Clinic with Dr. Maheen for my root canal treatment and teeth whitening. From start to finish, everything was handled with great care and professionalism. Dr. Maheen explained the procedure clearly, made me feel comfortable, and ensured the treatment was painless and smooth. Friendly staff, clean clinic, and excellent results. Highly recommended ROWENA BARRERA2026-01-02Trustindex verifies that the original source of the review is Google. Grateful for my experience at Nextcare Dental Clinic, especially for the professional and caring treatment by Dr. Diksha. It truly shows that there’s no shortcut to a beautiful smile — from proper planning and case trials to the final touches, everything was done with care to ensure patient satisfaction. Thank you, Nextcare, for helping create more beautiful smiles ❤️ SEM KARA (DUB)2026-01-02Trustindex verifies that the original source of the review is Google. So nice! Ms. Alaa and Ms. Diksha clearly know their job very well. They quickly assessed the situation and immediately understood what needed to be done. UPD: I would also like to sincerely thank Ms. Diksha for her exceptional care for patients. She explained everything clearly, step by step, and made sure I fully understood the treatment process. JesAiRon2025-12-29Trustindex verifies that the original source of the review is Google. Thanks to this pretty and amazing Doctor Sohail for doing her job well to my brave boy. It’s his 1st time visiting to a dental clinic and he is not scared at all. He is indeed a brave boy. Yoni Z.2025-12-26Trustindex verifies that the original source of the review is Google. Although I dont like visiting dental clinics."I had a fantastic experience at next care! I went there for a zirconia crown and root canal. The team was welcoming, and Dr. Diksha Kaka , professional and well experienced. She is super lovely and a great dentist.The treatment was painless and efficient beyond my expectation , the price affordable. The clinic is spotless and modern, and the appointment scheduling was super convenient for me. Will definitly go back the next time I visit Dubai. Highly recommend!!! Violeta Bruan2025-12-23Trustindex verifies that the original source of the review is Google. Thankyou next care dental clinic , the best clinic in Dubai ✨❤️Verified by TrustindexTrustindex verified badge is the Universal Symbol of Trust. Only the greatest companies can get the verified badge who has a review score above 4.5, based on customer reviews over the past 12 months. Read more

Achieve a brighter, healthier smile with our dental care. We use advanced treatments to enhance your natural shine and boost your confidence.
“From cleanings to cosmetics, we provide exceptional dental care.”
Our experienced team ensures a comfortable and stress-free experience for every visit, prioritizing your care and satisfaction.


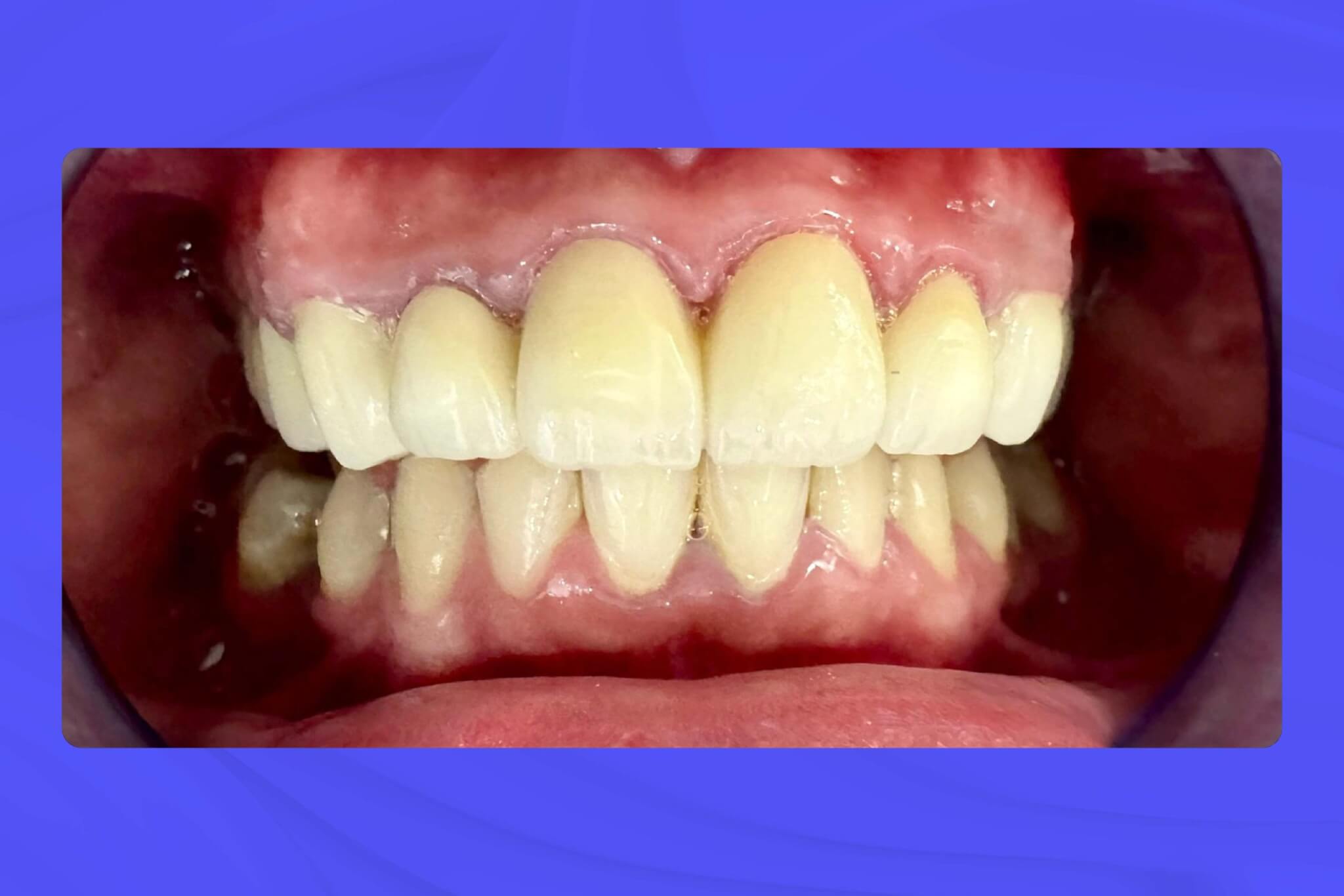
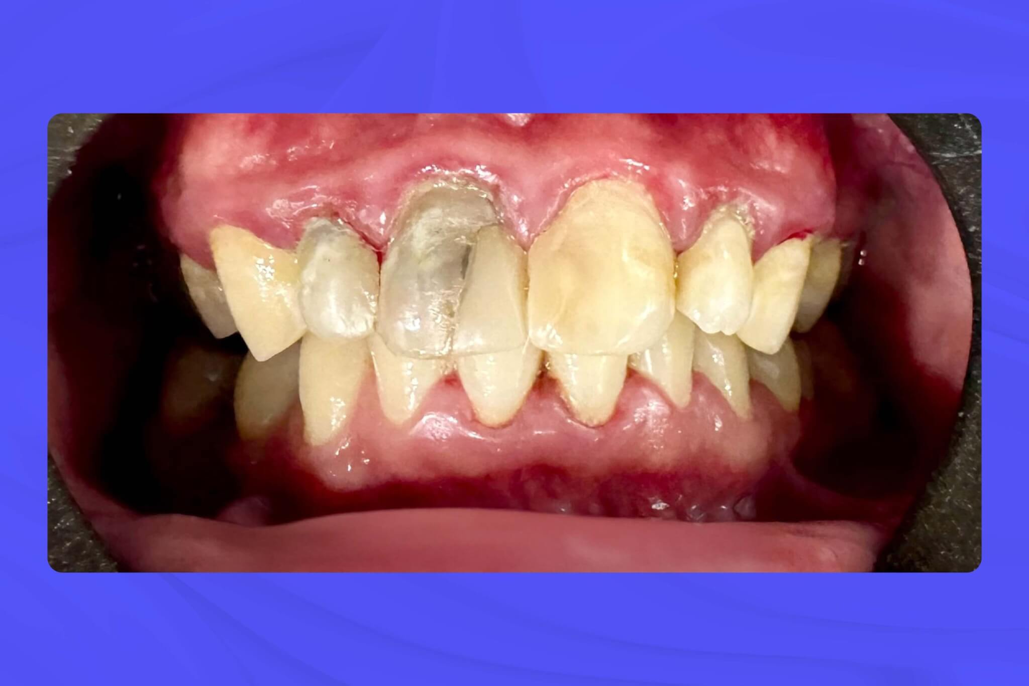
See the difference expert dental care can make. Our patients leave with healthier, more confident smiles!
At NextCare Clinics, our dental team is dedicated to delivering gentle, personalized care using the latest techniques. From routine checkups to advanced treatments, we work together to ensure your comfort and lasting oral health. Meet the skilled professionals who make your smile their priority.
Dr. Maheen Sohail General Dentist | Medical Director – Next Care Dental Clinic
It’s recommended to visit the dentist every six months for a routine check-up and cleaning. Some patients may need more frequent visits depending on their oral health needs.
Yes, teeth whitening is safe when done by a qualified dentist. You may experience temporary sensitivity, but it usually goes away within a few days.
Brushing twice a day with fluoride toothpaste, flossing daily, limiting sugary foods, and regular dental visits are the best ways to prevent cavities.
If you have a toothache, rinse your mouth with warm water and gently floss around the tooth. If pain persists, schedule an appointment immediately, as it could be a sign of infection or decay.
Children should visit the dentist by their first birthday or within six months after their first tooth appears. Early visits help prevent problems and create good dental habits.
Yes, dental X-rays are safe. They use very low levels of radiation, and protective measures like lead aprons are used to keep exposure minimal.
Dental fillings can last many years, depending on the material used and your oral hygiene. Regular check-ups help ensure they stay in good condition.
Veneers are thin shells placed on the front of teeth to improve their appearance. They are ideal for patients with chipped, stained, or uneven teeth.
If your teeth are crowded, crooked, or your bite feels uneven, you may benefit from orthodontic treatment. A consultation with the dentist will help determine the best option for you.
In case of a dental emergency, such as a broken tooth, severe pain, or bleeding, contact your dentist right away. Quick treatment can help save your tooth and reduce complications.
Regular dental visits every six months help prevent issues and maintain oral health. Routine check-ups detect problems early, ensuring timely treatment. Professional cleanings remove plaque and keep your smile healthy.
Regular dental visits every six months help prevent issues and maintain oral health. Routine check-ups detect problems early, ensuring timely treatment. Professional cleanings remove plaque and keep your smile healthy.
Regular dental visits every six months help prevent issues and maintain oral health. Routine check-ups detect problems early, ensuring timely treatment. Professional cleanings remove plaque and keep your smile healthy.
Regular dental visits every six months help prevent issues and maintain oral health. Routine check-ups detect problems early, ensuring timely treatment. Professional cleanings remove plaque and keep your smile healthy.
Regular dental visits every six months help prevent issues and maintain oral health. Routine check-ups detect problems early, ensuring timely treatment. Professional cleanings remove plaque and keep your smile healthy.
Regular dental visits every six months help prevent issues and maintain oral health. Routine check-ups detect problems early, ensuring timely treatment. Professional cleanings remove plaque and keep your smile healthy.
+971 54 586 0726
Clinic 1001, Centurion Star Tower A, Port Saeed, Dubai, UAE.

Send us your enquiry today and our friendly team will get back to you.
Enjoy a FREE Consultation on your visit!
Let our expert team help you achieve a healthier, more confident smile.
Enjoy a FREE Consultation on your first visit! Let our expert team help you achieve a healthier, more confident smile.